Xu hướng công nghệ AI

AI và Tương Lai: Dự Đoán Xu Hướng Công Nghệ AI Trong Thập Kỷ Tới

Bạn có đang tự hỏi: “Trí tuệ nhân tạo (AI) sẽ như thế nào trong 10 năm tới?”

Chúng ta đang sống trong thời đại mà AI không chỉ là công cụ hỗ trợ, mà còn là động lực thúc đẩy sự phát triển của toàn bộ xã hội. Từ y tế, giáo dục đến giao thông và môi trường, AI đã bắt đầu thay đổi cách chúng ta sống và làm việc.

Bài viết này sẽ giúp bạn hình dung rõ hơn về xu hướng phát triển của AI trong thập kỷ tới, từ đó chuẩn bị hành trang để không bị bỏ lại phía sau trong cuộc cách mạng công nghệ này.


I. Mở Đầu: AI – Chìa Khóa Của Tương Lai

Trí tuệ nhân tạo (AI) không còn là điều gì xa vời nữa. Nó hiện diện khắp nơi xung quanh ta:

  • Trợ lý ảo Siri, Google Assistant
  • Hệ thống gợi ý trên Netflix, YouTube
  • Xe tự lái Tesla
  • Chatbot chăm sóc khách hàng

Nhưng điều khiến AI trở nên đặc biệt chính là khả năng học hỏi, tự động hóa và đưa ra quyết định dựa trên dữ liệu khổng lồ. Trong thập kỷ tới, AI sẽ tiếp tục tiến xa hơn nữa, mang đến những đột phá chưa từng có.


II. Tổng Quan Về Sự Phát Triển Hiện Tại Của AI

Hiện nay, AI chủ yếu thuộc loại Narrow AI – tức là chỉ giỏi một nhiệm vụ cụ thể. Tuy nhiên, nhờ vào sự phát triển của các công nghệ như:

  • Xử lý ngôn ngữ tự nhiên (NLP)
  • Học máy (Machine Learning)
  • Học sâu (Deep Learning)
  • AI sinh nội dung (Generative AI) như ChatGPT, Midjourney, DALL·E

AI đã có thể:

  • Viết văn bản, lập trình, thiết kế hình ảnh
  • Nhận diện giọng nói và khuôn mặt
  • Phân tích dữ liệu tài chính và thị trường
  • Hỗ trợ chẩn đoán bệnh

Nếu bạn muốn hiểu rõ hơn về cơ chế hoạt động của AI, hãy đọc bài viết AI hoạt động như thế nào?


III. Dự Đoán Xu Hướng AI Trong 10 Năm Tới

1. General AI (AI Tổng Quát) Bắt Đầu Hình Thành

  • General AI là loại AI có khả năng học hỏi và thực hiện nhiều công việc khác nhau như con người.
  • Nhiều chuyên gia dự đoán rằng General AI có thể xuất hiện trong vòng 5–10 năm tới.
  • Điều này sẽ mở ra một kỷ nguyên mới, khi AI có thể:
  • Làm việc đa nhiệm
  • Học hỏi từ kinh nghiệm
  • Tư duy phản biện và sáng tạo

💡 Dự đoán: General AI sẽ là bước ngoặt lớn nhất trong lịch sử AI kể từ những năm 1950 đến nay.


2. AI Trong Y Tế: Chẩn Đoán Và Điều Trị Chính Xác Hơn

  • AI sẽ giúp bác sĩ chẩn đoán bệnh sớm hơn qua phân tích hình ảnh y khoa hoặc xét nghiệm gen.
  • Cá nhân hóa thuốc và phương pháp điều trị theo từng bệnh nhân.
  • Robot phẫu thuật và hệ thống chăm sóc sức khỏe tại nhà được ứng dụng rộng rãi.

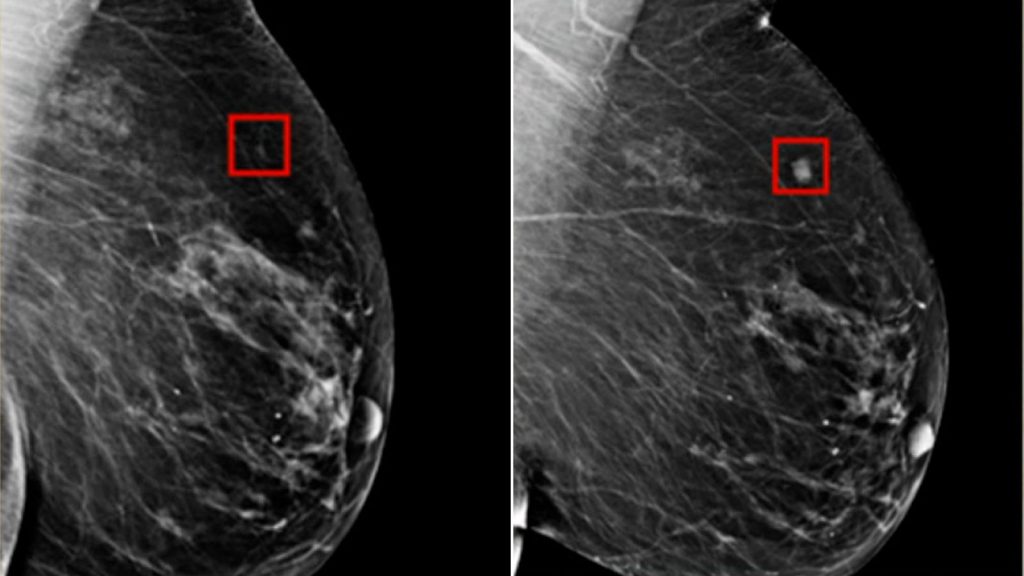
🏥 Ví dụ: Các bệnh viện hiện nay đã dùng AI để phát hiện ung thư vú, phổi với độ chính xác cao hơn cả bác sĩ.

Xu hướng công nghệ AI - Phát hiện sớm ung thư
Hình ảnh cho thấy AI phát hiện ung thư vú 4 năm trước khi nó phát triển (Nguồn: CNN)

3. Giáo Dục Cá Nhân Hóa Nhờ AI

  • AI sẽ tạo ra lộ trình học tập riêng biệt cho từng học sinh, phù hợp với khả năng và tốc độ học tập.
  • Tự động chấm điểm, nhận diện lỗi và đề xuất cải thiện.
  • Hỗ trợ học tập suốt đời (lifelong learning), giúp người đi làm cũng có thể nâng cao kỹ năng dễ dàng.

📚 Tương lai: Một ngày nào đó, bạn có thể có một “trợ lý học tập” riêng – giống như một gia sư AI luôn sẵn sàng giúp đỡ bạn.


4. Giao Thông Thông Minh Và Xe Tự Lái Phổ Biến

  • Xe tự lái Level 5 (tự động hoàn toàn) sẽ dần được thương mại hóa.
  • Hệ thống giao thông đô thị sẽ sử dụng AI để giảm ùn tắc và tăng an toàn.
  • Taxi bay và drone giao hàng sẽ không còn là viễn tưởng.

🚗 Thực tế: Tesla, Waymo và một số hãng đang thử nghiệm xe tự lái ở cấp độ cao, nhưng vẫn cần giám sát.


5. AI Trong Tài Chính Và Quản Lý Rủi Ro

  • AI sẽ giúp phân tích dữ liệu tài chính khổng lồ để dự đoán xu hướng thị trường chứng khoán.
  • Phát hiện gian lận và bảo mật ngân hàng hiệu quả hơn.
  • Tư vấn tài chính cá nhân hóa cho từng người dùng.

💰 Lợi ích: Giảm rủi ro đầu tư, tối ưu hóa chi tiêu và quản lý tài sản cá nhân.


6. AI Trong Sáng Tạo Nội Dung Và Giải Trí

  • AI có thể viết kịch bản phim, sáng tác nhạc, vẽ tranh và thiết kế game.
  • Game, VR/AR sẽ được cá nhân hóa nhờ AI, mang đến trải nghiệm sống động hơn.
  • Deepfake và nội dung giả mạo cũng sẽ gia tăng, đặt ra thách thức đạo đức.

🎨 Cảnh báo: Mặc dù AI có thể tạo ra nội dung chất lượng cao, nhưng nó không thể thay thế cảm xúc thật từ con người.


7. AI Trong Nông Nghiệp Thông Minh

  • Canh tác chính xác nhờ AI phân tích dữ liệu đất đai, thời tiết và tình trạng cây trồng.
  • Robot thu hoạch và drone phun thuốc sẽ thay thế lao động thủ công.
  • Giảm thiểu lãng phí thực phẩm và tối ưu hóa chuỗi cung ứng.

🌾 Kết quả: Tăng năng suất, giảm ô nhiễm và đảm bảo an ninh lương thực.


8. AI Trong Bảo Vệ Môi Trường

  • AI sẽ được sử dụng để dự báo biến đổi khí hậu và thiên tai.
  • Theo dõi ô nhiễm không khí, nước và rác thải.
  • Tối ưu hóa việc sử dụng năng lượng và tái chế.

🌍 Mục tiêu: Giúp nhân loại xây dựng một tương lai bền vững hơn.


IV. Thách Thức Và Rủi Ro Khi AI Phát Triển

Dù đầy tiềm năng, AI cũng đặt ra nhiều thách thức:

  • Đạo đức và thiên kiến: AI có thể gây ra định kiến nếu dữ liệu huấn luyện bị sai lệch.
  • Mất việc làm: Một số ngành nghề truyền thống có nguy cơ biến mất do tự động hóa.
  • An ninh mạng: AI có thể bị lợi dụng để tấn công mạng hoặc tạo nội dung giả mạo.
  • Phụ thuộc vào công nghệ: Con người có thể trở nên quá lệ thuộc vào AI.

V. Làm Thế Nào Để Chuẩn Bị Cho Tương Lai Với AI?

Để không bị bỏ lại phía sau trong kỷ nguyên trí tuệ nhân tạo, bạn nên:

  1. Học cách sử dụng AI – không cần phải là chuyên gia lập trình, nhưng cần biết cách khai thác AI hiệu quả.
  2. Phát triển kỹ năng mềm – sáng tạo, tư duy phản biện, giao tiếp – những thứ AI chưa thể thay thế.
  3. Học tập suốt đời – liên tục cập nhật kiến thức để thích nghi với thay đổi.
  4. Tham gia cộng đồng AI – học hỏi từ những người đi trước và cùng nhau phát triển.

📈 Khám phá khóa học: 60 Ngày Thành Thạo AI – Biến Ý Tưởng Thành Tiền sẽ giúp bạn tiếp cận AI một cách dễ hiểu và thực tế nhất.


VI. Kết Luận: AI Là Công Cụ, Còn Con Người Là Người Định Hướng

AI không phải là mối đe dọa, mà là cơ hội lớn cho xã hội. Tương lai phụ thuộc vào cách chúng ta tiếp cận, kiểm soát và sử dụng AI.

Hãy chuẩn bị ngay hôm nay để không bị bỏ lại phía sau trong kỷ nguyên trí tuệ nhân tạo!

5 1 vote
Đánh giá bài viết
Subscribe
Notify of
guest

0 Góp ý
Oldest
Newest Most Voted
Inline Feedbacks
View all comments
Scroll to Top
0
Bạn nghĩ như thế nào, hãy bình luận nhéx
()
x